Orthodontic Treatments
Orthodontic Treatments | Invisalign® | Invisalign® Teen | Damon® System | Dentofacial Orthopedics | Surgical Orthodontics
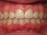
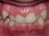
Crowding of the teeth
Before
After
A patient with this crowding would typically wear braces about 18 months. /p>
Openbite: Front teeth don't touch
Before
After
Openbites often require braces and additional appliances in the mouth to retrain tongues.
Deep overbite: Lower front teeth bite into palate
Before
After
Deep bites can cause trauma to teeth and gum tissue. Braces help the health of these teeth.
Missing lateral incisors
Before
After
Orthodontics improves the appearance of missing teeth.
Underbite: Lower front teeth in front of upper teeth.
Before
After
Dental underbites can cause jaw joint discomfort and excessive wear patterns on teeth.
Spacing of teeth
Before
After
Braces will close spaces and give an ideal bite.
Overjet: Protruding front teeth
Before
After
Correction of dental protrusion enhances the patients bite and smile.
Phase I
Before
After
Early correction allows permanent teeth to erupt properly and improves appearance.

